Introduction
Atrial fibrillation (AF) is the most common cardiac arrhythmia, and it is associated with an increased risk of thromboembolic events. Atrial fibrillation increases the risk of stroke, a leading cause of death and disability worldwide. Using oral anticoagulation in patients with atrial fibrillation at moderate or high risk of stroke, estimated by established criteria, improves outcomes. However, appropriate patient selection is essential to ensure that the benefits exceed the risks of bleeding.1 Traumatic injuries, such as nasal bone fractures, can result in severe bleeding complications, highlighting the challenges of managing anticoagulated patients in such situations. We present a case of a patient with AF on Eliquis who experienced life-threatening bleeding following a traumatic nasal fracture.
Case Presentation
Our patient is a 74-year-old male with a past medical history of Atrial Fibrillation (AF) managed with Eliquis (Apixaban), Benign Prostatic Hyperplasia, an Abdominal Aortic Aneurysm (AAA), Chronic Obstructive Pulmonary Disease (COPD), and chronic venous stasis. He presented initially with a traumatic nasal bone fracture following a fall, resulting in uncontrolled epistaxis. Otolaryngology placed nasal packing, and the patient was discharged with follow-up instructions. Eliquis was also resumed upon discharge. He returned to the emergency department two days after hospital discharge with recurrent epistaxis after his nasal packing became dislodged. The patient was initially hemodynamically stable with a blood pressure (BP) of 115/62, heart rate (HR) of 65 beats per minute (BPM), and SpO2 of 95% on ambient room air.
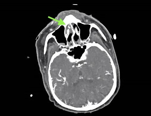
Otolaryngology was consulted and recommended arterial embolization. Several hours later, the patient started developing signs and symptoms of hemorrhagic shock, including a significant drop in blood pressure (74/36), tachycardia with a rate of 118 BPM, altered mental status, tachypnea, cold extremities, and poor urine output. Laboratory values upon admission were significant for a Hemoglobin of 10.3 g/dL (previously 12.6 g/dl two days prior when the patient was discharged from the hospital). Upon admission, the Platelet level was 186 k/uL (previously 106 k/uL two days before the patient was discharged from the hospital). Coagulation studies showed an activated partial thromboplastin time of 34.3 seconds, a prothrombin time of 18.30 seconds, and an international normalized ratio (INR) of 1.6. Two units of packed red blood cells, one unit of prothrombin complex concentrate, and one liter of Lactated Ringers were subsequently administered. Computed Tomography Angiography (CTA) of the neck with IV contrast demonstrated contrast extravasation predominantly within the anterior right nasal cavity, likely arising from Kiesselbach’s complex (Figure 1). Neuroendovascular surgery was consulted, and the patient underwent emergent right facial artery, right internal maxillary artery, and right occipital artery origin coil embolizations. The patient required a total of eleven units of packed red blood cells, units of fresh frozen plasma, one unit of prothrombin complex concentrate, two units of Platelets, and one unit of Kcentra. The patient’s hospital course was further complicated by sequela of his uncontrolled bleeding and subsequent resuscitation, including acute on chronic heart failure exacerbation, iatrogenic optic nerve blindness from emergent arterial embolization, and gangrene of several upper extremity digits. cavity, likely arising from Kiesselbach’s complex (Green Arrow). Stable deformity of the nasal septum with leftward deviation. Right sided nasal balloon tamponade. Debris within the bilateral nasal cavities, nasopharynx, and paranasal sinuses.
Discussion
This case vividly demonstrates the complex challenges of managing anticoagulated patients who experience traumatic injuries. Direct oral anticoagulants like Apixaban have gained favor for their predictable pharmacokinetics and ease of use compared to traditional cheaper agents like warfarin. However, these benefits can become liabilities in emergent bleeding scenarios, especially in the absence of readily available reversal agents for certain DOACs, including Apixaban.1–3 Point-of-care tests for assessing DOAC activity are under consideration for these acute situations and may provide valuable information for immediate management.4
Such assays can identify supratherapeutic drug exposure in the setting of an emergent need for targeted drug reversal and these agents limited availability and financial restrictiveness.
In severe, uncontrolled bleeding cases, a multidisciplinary approach is often necessary for optimal outcomes. Our patient’s case involved the timely intervention of multiple specialties, including Otolaryngology for nasal packing and Neuroendovascular surgery for embolization, underlining the role of advanced endovascular techniques in contemporary trauma management either alongside or in place of medical reversal.5
Finally, balancing the risks of thrombotic events against the imperative to control acute bleeding is a complex decision-making process.6 Especially when anticoagulation therapy has to be restarted, each decision becomes a delicate weighing of these competing risks. Furthermore, the limited availability and high cost of specific reversal agents, such as andexanet alfa, add another layer of complexity to the emergent management of anticoagulated patients.7,8 In the future, increased access to reversal agents will lead to a lower threshold to deploy medical therapy in managing bleeding emergencies in the anticoagulated community. Further research is needed to determine if increased ease of reversal affects shared decision-making of anticoagulation selection and its associated morbidity and mortality.
Conclusion
This case report highlights the critical nature of severe hemorrhage in patients on anticoagulation. Managing bleeding complications in anticoagulated patients requires a multidisciplinary approach and careful consideration of the risk-benefit profile of anticoagulation therapy. The case underscores the need for improved access to anticoagulation reversal agents and the challenges of balancing thrombotic risk and bleeding risk in complex patients.

_of_the_neck_with_iv_contrast_performed_on_admission_.jpeg)